Cirurgia pioneira em Aracaju recupera olfato de pacientes afetados pela covid-19
Acordar e sentir o aroma de um café pode ser algo corriqueiro para várias pessoas. Mas a perda de olfato durante o período pandêmico mudou essa realidade na vida de muita gente em todo o mundo. Quando a pandemia de covid-19 trouxe os primeiros [...]
O SUS no Brasil: uma história de luta e conquistas a partir da mobilização social e advento da democracia
O Sistema Único de Saúde (SUS) no Brasil, implantado com a Constituição Federal de 1988, surge a partir da luta da sociedade civil organizada, através de um movimento conhecido como Reforma Sanitária, em meados da década de 70. Esse movimento defendia a democratização da [...]
Psicóloga fala sobre sintomas e tratamento da depressão pós-parto
O nascimento de um filho é sempre um momento de muita emoção para os pais, familiares e todos que fazem parte do círculo de convivência de um casal. Porém, existe uma condição preocupante que atinge muitas mulheres e que, às vezes, pode passar despercebida: [...]
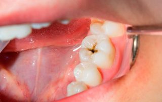
Por que é tão importante tratar a cárie dentária?
Talvez poucas pessoas saibam, mas o descuido com uma simples cárie dentária pode provocar o desencadeamento de problemas sérios de saúde, como doenças cardiovasculares (endocardite bacteriana, AVC e Infarto), doenças pulmonares (Pneumonias bacterianas, abscessos), partos prematuros e baixo peso ao nascer, Alzheimer e interferência [...]
Com recursos de Laércio, unidade de confecção de roupas é inaugurada em Tomar do Geru
Buscando transformar a vida das pessoas através do desenvolvimento e da geração de empregos, o senador Laércio Oliveira (PP-SE) destinou uma emenda parlamentar no valor de R$ 140 mil, à época como deputado federal, para a aquisição de máquinas de costura para uma célula [...]
Automedicação: hábito pode agravar quadro clínico e provocar a morte
Na última sexta-feira, 5, foi celebrado o Dia Nacional do Uso Racional de Medicamentos. A data serve para conscientizar a população sobre o uso indiscriminado de medicamentos e os riscos da automedicação. Segundo o Instituto Datafolha, 77% dos brasileiros tomam remédio por conta própria. [...]
Reconstrução mamária em Sergipe e no Brasil
A pauta da reconstrução mamária teve um importante avanço nas últimas semanas, uma Portaria do Ministério da Saúde publicada no Diário Oficial da União instituiu a estratégia de ampliação do acesso à reconstrução mamária para mulheres com câncer de mama no âmbito do Sistema [...]
Mães destacam atendimento da Urgência Pediátrica do Santa Isabel
O Hospital e Maternidade Santa Isabel (HMSI) contabilizou, entre o período de março de 2022 a março desse ano, 26.845 atendimentos em sua Urgência Pediátrica - segundo o Relatório do Acolhimento com Classificação de Risco (ACCR). Somente no último mês, foram atendidas 2.521 crianças [...]
Herpes zóster: doença que pode levar à paralisia facial
Após sentir muitas dores no ombro, sensação de queimação e o aparecimento de lesões bolhosas nas mãos, que progressivamente foram aumentando em direção ao braço, a funcionária pública Deborah Sena França decidiu procurar uma urgência por não suportar mais as dores que sentia. Após [...]
Maio roxo: um alerta para as doenças inflamatórias intestinais
No mês de maio é divulgada a campanha para chamar atenção ao diagnóstico precoce de doenças de Crohn e retocolite ulcerativa, também conhecidas como Doenças Inflamatórias Intestinais (DIIs). As doenças foram descritas em 1932 por Dr. Burrill B. Crohn. Sua etiologia é multifatorial e [...]

